Loading
InícioSaúdeExames médicos

Resuma este artigo com IA:

Loading

Angiografia coronária: quando o exame do coração é indicado e como é feito

Saiba por que este procedimento é fundamental para diagnosticar e planejar o tratamento de doenças nas artérias do coração.

angiografia coronária_1.jpg

O coração acelera um pouco, e não é por uma boa notícia. Após uma consulta, o cardiologista menciona a necessidade de uma "angiografia coronária" para investigar com mais precisão a saúde das suas artérias. 

O nome pode soar complexo e gerar apreensão, mas entender o procedimento é o primeiro passo para se sentir mais seguro e confiante. Procure um médico especialista na Rede Américas para maiores esclarecimentos. Marque a sua consulta.

Hospital

Endereço

Agendamento

Hospital Nove de Julho - Alphaville

Av. Cauaxi, 118 - Alphaville - barueri - São Paulo-Sp

Agende sua consulta com um cardiovascular em São Paulo

Hospital e Maternidade Santa Lúcia

R. Cap. Salomão, 27 - Botafogo - Rio de Janeiro-RJ

Consulte um cardiovascular no Rio de Janeiro

Hospital da Bahia

Av. Prof. Magalhães Neto, 1541 - Pituba - Salvador-BA

Marque sua consulta com um cardiovascular na Bahia

Hospital  Brasília

St. de Habitações Individuais Sul QI 15 - Lago Sul, Brasília - DF

Consulte um cardiovascular em Brasília

Complexo Hospitalar de Niterói

Tv. Lasalle, 12 - Centro, Niterói - RJ

Consulte um cardiovascular em Niterói 

A Rede Américas possui especialistas renomados.
Encontre um perto de você!

O que é a angiografia coronária?

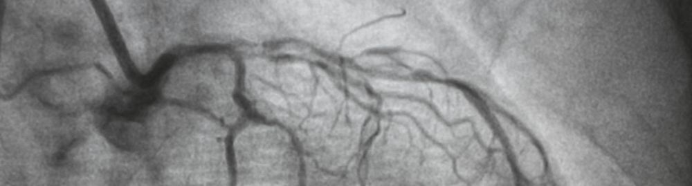
A angiografia coronária é um procedimento diagnóstico que funciona como um "mapa" detalhado dos vasos sanguíneos que irrigam o coração, as chamadas artérias coronárias. Por meio do uso de raios X e da injeção de um contraste iodado, o médico consegue visualizar em tempo real o fluxo de sangue e identificar com alta precisão qualquer ponto de estreitamento ou bloqueio.

Este exame é considerado o padrão-ouro para o diagnóstico da doença arterial coronariana (DAC), condição causada pelo acúmulo de placas de gordura (aterosclerose) nas paredes das artérias. A angiografia coronária é, na verdade, o padrão mais elevado de imagem para avaliar a DAC, pois oferece uma caracterização detalhada dessas placas e permite realizar intervenções, como a angioplastia, no mesmo procedimento.

Embora historicamente a angiografia coronária invasiva fosse o "padrão ouro" para diagnosticar problemas nas artérias, hoje a decisão de tratar uma lesão é complementada por avaliações funcionais. Essas avaliações verificam se o estreitamento realmente limita o fluxo sanguíneo, oferecendo uma visão mais completa do impacto da doença.

Angiografia, cateterismo e angioplastia são a mesma coisa?

É comum haver confusão entre estes termos, mas eles se referem a etapas e objetivos diferentes. É fundamental esclarecer a função de cada um:

  • Cateterismo cardíaco: é o procedimento geral de inserir um cateter (um tubo fino e flexível) em um vaso sanguíneo e guiá-lo até o coração. Ele pode ter finalidades diagnósticas ou terapêuticas.
  • Angiografia coronária: é a parte diagnóstica do cateterismo. É o momento em que o contraste é injetado e as imagens das artérias são capturadas. Portanto, a angiografia é um tipo de cateterismo.
  • Angioplastia: é um procedimento de tratamento. Caso uma obstrução significativa seja encontrada durante a angiografia, o médico pode realizar a angioplastia no mesmo momento. Ela consiste em inflar um pequeno balão na ponta do cateter para desobstruir a artéria, podendo incluir a colocação de um stent (uma pequena malha de metal) para manter o vaso aberto.

Por que este exame é solicitado?

Um cardiologista pode indicar a angiografia coronária após avaliar os sintomas do paciente e os resultados de exames preliminares, como o eletrocardiograma, teste de esforço ou ecocardiograma. A principal suspeita é a de que o fluxo sanguíneo para o músculo cardíaco esteja comprometido.

A angiografia coronária funcional é particularmente útil quando o paciente sente sintomas, mas exames padrão não mostram bloqueios significativos. Ela mede o impacto real das anormalidades nas artérias, fornecendo informações essenciais para o diagnóstico.

As principais indicações incluem:

  • Sintomas de doença arterial coronariana, como dor no peito (angina).
  • Dor no peito, mandíbula, pescoço ou braço que não pode ser explicada por outros exames.
  • Resultados anormais em exames cardíacos não invasivos.
  • Investigação após um infarto agudo do miocárdio.
  • Avaliação pré-operatória para cirurgias cardíacas, como a de troca de válvula.
  • Investigação de insuficiência cardíaca de causa desconhecida.

Como a angiografia coronária é realizada?

O procedimento é realizado em um hospital, em uma sala específica chamada de hemodinâmica. O paciente permanece acordado, sob sedação leve para garantir conforto, e a duração média é de 30 a 60 minutos.

Antes do procedimento

A preparação é crucial para a segurança do exame. O paciente recebe orientações claras da equipe médica, que geralmente incluem jejum de 4 a 8 horas. É fundamental informar sobre todos os medicamentos em uso, especialmente anticoagulantes, e relatar qualquer histórico de alergia, principalmente a iodo ou frutos do mar, devido ao contraste utilizado.

Durante o procedimento

O processo segue etapas bem definidas para garantir precisão e segurança. O paciente é posicionado em uma mesa e monitorado continuamente.

  1. Anestesia local: uma pequena área no pulso (artéria radial) ou na virilha (artéria femoral) é anestesiada.
  2. Inserção do introdutor: um pequeno tubo de plástico é inserido na artéria para servir de via de acesso.
  3. Passagem do cateter: o médico guia o cateter através do sistema circulatório até a origem das artérias coronárias.
  4. Injeção do contraste: uma pequena quantidade de contraste iodado é injetada. Neste momento, o paciente pode sentir uma breve sensação de calor pelo corpo, que é normal e passa rápido.
  5. Captura das imagens: enquanto o contraste preenche as artérias, um equipamento de raios X captura imagens em vídeo (angiogramas), mostrando o fluxo sanguíneo em detalhes.

Após o procedimento

Ao final do exame, o cateter é removido e o local da inserção é fechado com um curativo compressivo. O paciente é levado para uma sala de recuperação, onde permanece em observação por algumas horas antes de receber alta, geralmente no mesmo dia.

Como é a recuperação após o exame?

A recuperação costuma ser tranquila. O principal cuidado é com o local onde o cateter foi inserido. É recomendado repouso relativo de 24 a 48 horas, evitando levantar peso ou realizar atividades físicas intensas. A equipe de enfermagem fornecerá todas as orientações sobre cuidados com o curativo e sinais de alerta a serem observados.

Beber bastante líquido ajuda o corpo a eliminar o contraste. O retorno às atividades normais geralmente ocorre em poucos dias, mas o médico responsável pelo caso fará a recomendação individualizada.

Quais são os possíveis riscos e complicações?

A angiografia coronária é um procedimento muito seguro e rotineiro na cardiologia moderna. As complicações graves são raras. No entanto, como todo procedimento invasivo, existem riscos que devem ser conhecidos e discutidos com o médico.

Entre os possíveis riscos, estão:

  • Reação alérgica ao contraste.
  • Sangramento, hematoma ou infecção no local da punção.
  • Lesão no vaso sanguíneo pelo cateter.
  • Arritmias cardíacas temporárias.
  • Dano renal, especialmente em pacientes com função renal já comprometida.

A equipe médica toma todas as precauções para minimizar esses riscos, como a avaliação da função renal e do histórico de alergias antes do exame.

Existe uma alternativa menos invasiva?

Sim. A angiotomografia de coronárias é uma alternativa não invasiva que também utiliza contraste para visualizar as artérias do coração. O exame é realizado em um tomógrafo computadorizado, sem a necessidade de inserir um cateter até o coração.

Em pacientes com dor no peito e suspeita de problemas cardíacos de risco intermediário, a angiotomografia pode ser especialmente útil. Estudos indicam que ela tem a capacidade de reduzir a necessidade de uma angiografia invasiva (cateterismo) em aproximadamente 19% dos casos.

Embora seja uma excelente ferramenta para descartar a presença de obstruções em pacientes de baixo a intermediário risco, a angiografia coronária ainda é necessária quando o resultado da angiotomografia é duvidoso ou quando há forte suspeita de doença grave que pode exigir tratamento imediato, como a angioplastia.

A decisão entre um método e outro cabe ao cardiologista, que irá avaliar o quadro clínico completo de cada paciente para indicar o exame mais apropriado.

Este conteúdo tem caráter informativo e não substitui avaliação médica. Em caso de dúvidas, procure um especialista habilitado.

Bibliografia
  • BENNETT, J. et al. Contemporary functional coronary angiography: An update. Future Cardiology, [S.l.], 2024. Disponível em: https://www.tandfonline.com/doi/full/10.1080/14796678.2024.2416817. Acesso em: 13 dez. 2025.
  • COMPARATIVE effectiveness of initial computed tomography and invasive coronary angiography in women and men with stable chest pain and suspected coronary artery disease: multicentre randomised trial. The BMJ, [s.l.], 19 out. 2022. Disponível em: https://www.bmj.com/content/379/bmj-2022-071133. Acesso em: 13 dez. 2025.
  • GRAY, A. J. et al. Early computed tomography coronary angiography in patients with suspected acute coronary syndrome: randomised controlled trial. The BMJ, [S. l.], 29 set. 2021. Disponível em: https://www.bmj.com/content/374/bmj.n2106. Acesso em: 13 dez. 2025.
  • GURAV, A. et al. Coronary angiography: a review of the state of the art and the evolution of angiography in cardio therapeutics. Frontiers in Cardiovascular Medicine, [S. l.], 25 nov. 2024. Disponível em: https://www.frontiersin.org/articles/10.3389/fcvm.2024.1468888/full. Acesso em: 13 dez. 2025.

UNIDADES ONDE ESPECIALISTAS ATENDEM

NAVEGUE PELAS NOSSAS UNIDADES

Foto do Hospital Nossa Senhora do Carmo

Hospital Nossa Senhora do Carmo

Localização

Rua Jaguaruna, 105 – Campo Grande

Telefone(21) 3316-2900

Foto do Hospital Brasília

Hospital Brasília

Localização

St. de Habitações Individuais Sul QI 15 - Lago Sul, Brasília - DF, 71681-603

Telefone(61) 4020-0057

Foto do Maternidade Brasília

Maternidade Brasília

Localização

St. Sudoeste QMSW 4 - Cruzeiro / Sudoeste / Octogonal, Brasília - DF, 70680-400

Telefone(61) 2196-5300

Foto do Hospital Santa Paula

Hospital Santa Paula

Localização

Av. Santo Amaro, 2468 - Brooklin, São Paulo - SP

Telefone(11) 3040-8000

Foto do Hospital São Lucas Copacabana

Hospital São Lucas Copacabana

Localização

Tv. Frederico Pamplona, 32 - Copacabana, Rio de Janeiro - RJ, 22061-080

Telefone(21) 2545-4000

Foto do Hospital Samaritano Higienópolis

Hospital Samaritano Higienópolis

Localização

R. Conselheiro Brotero, 1486 - Higienópolis, São Paulo - SP

Telefone(11) 3821-5300

Foto do AMO - Feira de Santana

AMO - Feira de Santana

Localização

Ed. Meddi - Av. Getúlio Vargas, 844 - 3 andar - Centro, Feira de Santana - BA, 44001-525

Telefone(71) 4020-5599

Foto do Hospital da Bahia

Hospital da Bahia

Localização

Av. Prof. Magalhães Neto, 1541 - Pituba, Salvador - BA, 41810-011

Telefone(71) 4020-0057

Foto do CHN - Complexo Hospitalar de Niterói

CHN - Complexo Hospitalar de Niterói

Localização

Tv. Lasalle, 12 - Centro, Niterói - RJ, 24020-096

Telefone(21) 2729-1000

Ícone do WhatsAppÍcone médicoAgende sua consulta